Přehled tobolek Urosaf a zkušenosti s užíváním drogy pro léčbu prostatitidy z Diega z Lanusu

Nikdy jsem si nemyslel, že budu muset být léčen pro prostatitidu. Po podstoupení sexuální infekce došlo ke komplikaci. Předepsali velkou dávku antibiotik, alergie začaly, museli je opustit a prostatitida rostla.
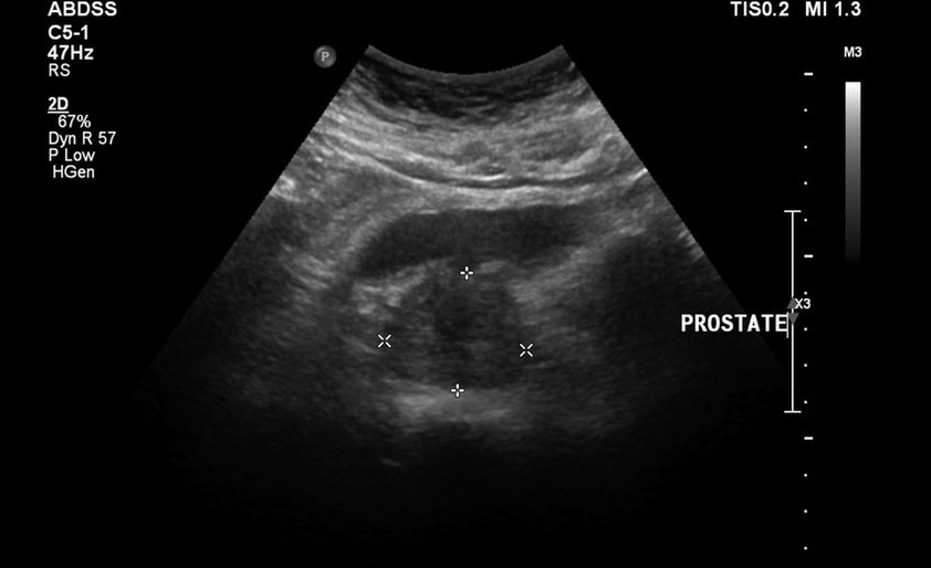
Nedovolili, aby pogumované živě klidně žily, pak byla přidána bolest dolní části zad, testy a výsledky ultrazvuku byly špatné. Bylo doslova nemožné se vzdát od záchodu, v slabinách a neustálé bolesti byl pocit těžkosti. Byla předepsána přímá masáž prostaty, která mě vrhla do paniky. Začal hledat další, méně traumatické metody léčby.
Našel jsem drogu na internetu Urosaf, recenze byly velmi dobré, rozhodly se objednat. Úplný lék byl slíben kvůli interakci rostlinných složek. Poškození mužského těla bylo zcela vyloučeno.

Co se mi osobně líbilo: zcela přirozené složení rostlin. Jak používat lék Urosaf, podrobně popsáno v přiložených pokynech. Vzal jsem produkt dvakrát denně, jednu kapsle ráno a večer.
S úlevou jsem byl schopen dýchat již třetí den přijímání tobolek Urosaf, resetování vlevo, frekvence močení se snížila a zmizela tahající bolesti. Rozhodl jsem se pít měsíční kurz až do konce. Výsledkem je, že všechny negativní příznaky zmizely.
Po měsíci užívání tobolek rostlin Urosaf Všechny příznaky prostatitidy zmizely, zlepšení erekce bylo příjemným bonusem, takže jsem s výsledkem terapie více než spokojen. S důvěrou mohu doporučit lék všem mužům, kteří čelí nemocem prostaty.